Disclosure: This post contains affiliate links, and if you click on them and purchase a product, we will receive a small commission at no extra cost to you. Goodpetparent.com only shares products that we strongly believe in and feel would be beneficial for our readers.
Canine hip dysplasia (CHD) is the most commonly inherited orthopedic disease in dogs, affecting millions of dogs worldwide each year. CHD can affect any dog, regardless of breed, whether male or female, small or large. It can develop in one or both hips.
CHD is a developmental disease, which means it’s not present at birth, but develops with age. By 2 years of age, 95 percent of dogs who have genes for hip dysplasia will begin to show evidence of the disease on x-rays.
What is Hip Dysplasia?
Hip dysplasia is an inherited disease of the hip joint. Dogs are not the only ones afflicted; hip dysplasia can also affect cats and humans.
The hip joint is a ball-and-socket joint, made up of a depression in the pelvis called the acetabulum (or “socket”), and the head of the femur, or thigh bone (the “ball”). In a normal hip joint, the head of the femur fits cleanly into the hip socket and is held in place by large muscles and a strong ligament that attaches the femur head directly to the acetabulum. In a hip joint that is dysplastic, either the femur head or the socket (or both) are abnormally shaped, and therefore don’t fit together correctly. This allows the femur head to slide out of place.
Over time, this constant sliding causes inflammation. The entire joint swells and its structure weakens. The nerve endings in the ligament and joint capsule also become stretched. This results in the development of osteoarthritis and severe, chronic pain.
Canine hip dysplasia is caused by a number of genetic and environmental factors. Although its development is primarily genetic, other factors can also bring about the onset of CHD, including rapid weight gain (especially in puppies), diet, pelvic injuries, weak hind limb muscles, excessive exercise, and repetitive strain injuries (such as those sustained by working dogs in the fields of police work, military work, and search and rescue).
The Role of Genetics
Canine hip dysplasia is an inherited, polygenic disorder, which means that more than one gene influences the development of the disease. Because there are many different genes involved, and no one is sure exactly which genes are responsible for the development of CHD, the disease is not something that is easily eradicated from a particular breed or family line of dog.
Dog breeders and veterinarians have attempted to use selective breeding strategies to try to “breed out” CHD in purebred dogs, but the results have been disappointing. In some breeds, up to 50 percent of the dogs in the gene pool are afflicted with CHD.
Even though selective breeding attempts have had disappointing results, it doesn’t change the fact that dysplastic dogs should never be bred. If two dysplastic dogs are permitted to breed, 3 out of 4 puppies produced in the litter will develop hip dysplasia. In contrast, if non-dysplastic dogs mate, only 1 out of 4 puppies in the litter will develop the disease.
Affected Breeds
Canine Hip Dysplasia is far more common in large breeds of dogs than small breeds, although any breed can be affected.
CHD seems to be particularly prevalent in the Bulldog (of the groups of Bulldogs studied, 72 percent of them had the disease), Pug (in second place with 68 percent), St. Bernard, Basset Hound, German Shepherd, Labrador Retriever, Golden Retriever, Rottweiler, Bull Mastiff, Chow, Bernese Mountain Dog, Bloodhound, Newfoundland, Boxer, Brittany Spaniel, Chesapeake Bay Retriever, English Setter, Gordon Setter, Old English Sheep Dog, Standard Poodle, and Corgi. In the cat world, Maine Coon cats are particularly prone to hip dysplasia.
Large breeds with a relatively LOW incidence of CHD include the Borzoi, Doberman Pinscher, Great Dane, Greyhound, Irish Wolfhound, Collie, and Siberian Husky.
The Orthopedic Foundation for Animals’ website provides a full ranking of dog breeds and the percentage of the group that suffers from hip dysplasia, according to OFA statistics.
Symptoms
The earliest symptoms of Canine Hip Dysplasia often begin to show up between 4 months and 1 year of age. Symptoms include:
- Exercise intolerance
- Stiffness/pain, especially in the morning
- Swaying, wobbling, or unsteady gait
- “Bunny hopping” (moving hind legs together when walking or running, especially up stairs)
- Difficulty getting up from sitting or lying positions
- Reluctance to jump, run, or climb stairs
- Tail-tucking while engaging in physical activity
- Hind-limb lameness, often worse after exercise
- Sitting in a “frog” position (with one hip splayed out)
- Narrow stance – back legs more close together than front legs
- Audible “clicking” sound when walking or running
- Loss of interest in physical activities that were previously enjoyed
As hip dysplasia progresses, the following symptoms may appear:
- Arthritis
- Aversion to being touched
- Loss of muscle tone in hind quarters
- Change in temperament, sometimes with inexplicable aggressive behavior (due to pain)
Diagnosis of CHD
Diagnosing Canine Hip Dysplasia starts with a physical examination. First, the veterinarian feels the dog’s hip joint and surrounding areas looking for joint laxity, or the degree of looseness in the joint. Loose hips are more likely to be dysplastic than tighter, more stable ones.
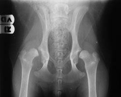
Next, x-rays of the pelvis are taken. Radiography is the only true means of reaching a definitive diagnosis of CHD. On x-ray, a healthy hip joint shows a snug fit of the femur head against the acetabulum, with the acetabulum appearing to cover about three-fourths of the femur head. In dysplastic dogs, the femur head appears to jut away from the acetabulum, and more space is visible between the two bones. Displacement of the head of the femur is considered the hallmark of CHD.


Can Canine Hip Dysplasia Be Prevented?
The majority of responsibility for preventing Canine Hip Dysplasia in future generations falls squarely on the shoulders of dog breeders. Responsible breeders ensure their dogs have a healthy family line going back several generations.
Quality breeders also expend the time and money it takes to have their breeding dogs (both sire and dam) certified as being free of hip dysplasia. Screening and certifying dogs in the U.S. is currently done by one of two systems, both of which use x-ray techniques that require general anesthesia:
- OFA (Orthopedic Foundation For Animals) System: Developed in 1963, this organization screens, certifies, and maintains a registry of dogs 24 months of age and older.
- PennHIP System: Developed in 1993 at the University of Pennsylvania, this system uses a series of 3 x-ray views to assess the likelihood of developing CHD. This analysis is considered by most veterinary orthopedic specialists to be the best indicator of predicting development of hip dysplasia. It can be performed on dogs as young as 4 months of age.
Besides screening for CHD in breeding dogs, there are other ways that the disease might be prevented.
Studies by the Baker Institute have shown that slowing down a dog’s rate of growth in puppyhood by feeding portioned amounts (instead of allowing the puppy to eat as much as he wants) can lessen the severity of hip dysplasia, and may even prevent it. Other data supports the theory that feeding a high-calorie, high-protein diet that produces rapid weight gain will increase the likelihood of developing CHD because bones and muscles grow too quickly.
Additionally, older dogs who are overfed and obese tend to suffer more pain and discomfort from CDH due to the extra pressure excess weight places on the joints.
CHD development may also be prevented by reducing or eliminating high-impact activities (such as jumping on the hind legs) that put extra strain on a dog’s hindquarters. Just like for humans, repetitive motion activities that are unnatural to a dog’s movement should also be avoided.
Treatment Options
Studies have shown that up to 76 percent of severely dysplastic dogs who have developed osteoarthritis are able to live comfortable, quality lives with conservative management of their condition. Non-surgical management options include:
- Regular, low-impact, controlled exercise such as gentle walking and swimming.
- Maintaining a healthy weight.
- A warm environment and avoidance of damp, chilly temperatures (a heated dog bed or applying a warm water bottle for 15 minutes twice daily is helpful).
- The use of supplements such as glucosamine chondroitin and omega-3 fatty acids (with veterinary approval).
- Gentle massage of the muscles around the hip joints (if not irritating to the dog).
- A firm orthopedic dog bed.
- Providing traction, such as carpets or rubber mats, on slippery floors. Carpeted ramps can also assist dysplastic dogs with getting into and out of the car.
- Anti-inflammatory drugs to reduce inflammation and relieve pain (be sure to consult your veterinarian regarding the best medication and dosage to use in your dog).
- Physical therapy such as hydrotherapy, where dogs can walk on a treadmill submerged in warm water.

Sometimes if hip dysplasia is severe and a dog doesn’t respond to conservative management, or in dogs where the condition presents at a very young age, veterinarians will recommend surgery. There are 4 different surgical options for treating CHD:
-
Juvenile Pubic Symphysiodesis
- Must be performed on puppies younger than 5 months old.
- Involves fusing the pelvic bones to change the angle of the hips and allow the rest of the bones in the pelvis to develop properly.
-
Triple Pelvic Osteotomy
- Performed on puppies less than 10 months old.
- Involves a surgeon breaking the pelvis in order to realign the head of the femur with the hip socket.
-
Femoral Head and Neck Excision
- Recommended for older, non-overweight dogs.
- Involves removing the tip of the femur (the head and neck of the bone), causing a scar tissue “joint” to form where the femur previously fit into the acetabulum.
- This procedure will reduce pain significantly, but is not ideal since the original joint is sacrificed.
- Due to expense and invasiveness, this is the “last resort” for dysplastic dogs, but has the best results, completely restoring hip joint function and eliminating pain.
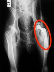
- The diseased hip joint is removed and replaced with an artificial joint that lasts for the lifetime of the dog.
In Conclusion
Because Canine Hip Dysplasia is genetically inherited, unfortunately there are no products or treatments that can prevent its development. If left untreated, a dysplastic dog’s hips will degenerate to the point where he will suffer extreme pain and eventually be unable to use his hind legs.
The good news is that CHD can be effectively managed with a variety of medications and treatment options. If diagnosed early enough, and provided with proper treatment, the vast majority of dogs with hip dysplasia are able to enjoy a good quality of life and remain active well into their senior years.
Have you ever cared for a dog with hip dysplasia? If so, what treatments worked best for your dog? Please share your thoughts with us in the comments below!
1 Photo Credit: Creative Commons License
2 Photo Credit: Veterinary Practice News
3 Photo Credit: Veterinary Practice News

I am so glad to get this information. My daughter and son-in-law had a beautiful German Shepherd that, as he aged, showed weakness and pain in his hips. The dog was dearly loved and they cared for him long after he lost the use of his back legs. Eventually, they sought euthanasia, which was such a hard decision for them. I am relieved to learn of additional treatments and therapies. I previously viewed hip dysplaysia as a “given” with older large dogs.
Thank you so much for the link regarding the Orthopedic Foundation for Animals and their ranking of dog breeds with percentage of dogs affected. I am thinking of adopting an English Setter puppy or adult.
I have a question. Do mixed-breed dogs have the same prevalence for the disorder? I hear about “hybrid vigor” in mixed-breeds.
Thank you again for such great content!
I’m so sorry to hear about your daughter’s German Shepherd. Hip Dysplasia can be devastating for those dogs who are severely affected, as well as for the many families who can’t afford an expensive hip-replacement surgery. Fortunately, so much more is known now about how to prevent and treat it. With that knowledge, more research, and better selective breeding, hopefully in the future we can finally start seeing a reduction in cases.
Regarding your question about mixed breed dogs, yes – “hybrid vigor” (which is basically better health resulting from the crossbreeding of genetically different animals) definitely applies with hip dysplasia. Although any dog can develop CHD, there are fewer instances in mixed breed dogs than purebreds. That being said, however, if you mix a German Shepherd with a Labrador Retriever, the odds of those puppies developing CHD is going to be higher than if you mixed 2 breeds with traditionally lower incidences of hip dysplasia.
How wonderful that you’re thinking about adopting a dog soon! If I may make a recommendation, if you’re looking for a specific breed, there are many wonderful purebreed rescue organizations that would be great places to start. They often have adult dogs who are already trained, housebroken, and “settled” who are less adoptable than puppies and through no fault of their own find themselves in need of forever homes. Best of luck in your search for the newest addition to your family! 🙂
The first thing I asked when Laika was diagnosed with arthritis was “is it hip dysplasia?” – I was terrified of having to deal with that. Luckily she doesn’t appear to have CHD, just some minor arthritis. It’s really such a devastating diagnosis; but luckily there are some decent management options out there. Hopefully one day the effects of responsible breeders will lead to less cases of CHD.
I don’t blame you! Many years ago my aunt had a beautiful white German Shepherd who was diagnosed with CHD when he was about 4 or 5 years old (as I recall). Back then they didn’t have the surgical options (or management techniques) we have today. Watching him detoriorate until he finally went down in the back end and there was nothing more they could do was incredibly heartbreaking, as he was otherwise perfectly healthy. I’m so glad Laika isn’t dysplastic! Hopefully you can continue to successfully manage her arthritis well into her “old lady” years.
This is such an informative article. The x-rays are really interesting and now it makes sense on why being overweight can really aggravate the condition. I feel so bad for dogs that have severe cases of CHD and are living with pain. Hopefully the non-invasive treatment options you mentioned are helpful for dogs with milder cases.
Yes, those x-rays really show just how much pain those poor dogs must be in! Humans can have hip dysplasia also, but at least we have the benefit of being able to communicate that something’s wrong and how much pain we’re experiencing. When dysplastic dogs become overweight, the stress placed on those already malformed joints only makes it worse. When I was in veterinary practice years ago, surgeries to help correct CHD were so rare that there were only a few specialty surgeons in the state who performed them. Now they’re becoming more common and the surgical techniques are so much better. It’s great to see that dogs can now have corrective surgery to reduce or completely eliminate their symptoms and give them a chance at a normal life!
This is the reason why we started our small business. We couldn’t find a sturdy yet pretty set of pet stairs for our dog Max who had hip problems. So my husband, Steve built one himself. We now have a thriving Etsy business helping lots of fur babies!!!
Education is key in preventing joint injuries!
www.etsy.com/shop/hamptonbaypetsteps
Vicki Steinhauer
Great idea! I’m a big advocate of pet stairs… not only helps dogs with hip problems, but also helps prevent injuries related to luxating patellas and elbow dysplasia.
Howdy!
I know this article is a bit old, but seeing the xrays really helped me understand the pain our 3 yr old Rottweiler is in. She was diagnosed with severe CHD when she was a little over a year old. Both hips, and her leg bones are deformed enough that our vet didn’t recommend any of the usual surgical options, because none of them would put everything back in alignment and prevent further problems.
We went with stem cell therapy after she blew ligaments in both knees, and a lot of physical therapy, swimming, laser, acupuncture, and Chinese medicine. All this, plus assorted other meds helped a lot for a while, but she’s starting to really have problems getting up now, even to go out to potty. She’s also having skin infections, maybe from the meds, but the third round of antibiotics isn’t helping much.
It’s starting to look like we’ll have her put to sleep sooner than later, because it sucks to see her unhappy.
Here’s the thing – she was from a backyard breeder. We were trying to help a friend of a friend who had puppies, but should have known better. We’ll definitely get another Rott, because our girl was such a wonderful introduction to the breed’s personality, but we’ll do our research and spend the money to get a pup with the best chance of growing up and old healthy.
Your poor baby! I really sympathize with what you’re going through. My aunt had a beautiful white German Shepherd with such severe hip dysplasia that by age 2 he was chronically lame, and they had to let him go at age 5 when he went permanently down in the back end. You have definitely tried everything humanly possible, and it’s heartbreaking when there is nothing left to do. Hopefully it brings some comfort knowing you are doing everything you can and have given her the best chance at a happy life. Sometimes there are battles that we just can’t win, no matter how hard we try. 🙁
You never mentioned Adequan. It is THE go-to drug for joint arthritis. Can give it forever and there are zero side effects. It is the only thing that makes an arthritic (or bad and will be arthritic) joint produce joint fluid. Loading dose is 8 injections given 4 days apart and then anywhere from every 2- 4 weeks thereafter. (2 weeks if arthritic changes are definite and 4 if not yet showing the changes.) Have used it for 30 years. Now my vet small animal board-certified orthopedic surgeon prescribes it regularly as does my board-certified rehab medicine vet
Ahhh, yes…I’m a big fan of Adequan! Although I didn’t mention it specifically in this post (it would fall under the “anti-inflammatory drugs to reduce inflammation and relieve pain” section), I have written about it extensively in another one of my posts on treating arthritis in pets, which you can read here: https://www.goodpetparent.com/2016/01/22/arthritis/ . Adequan has been shown to be extremely safe and effective, and although it can be somewhat expensive, since it’s one of the only drugs I know of that actually helps the body repair its own cartilage, it’s well worth the cost in my opinion. Thank you for mentioning it! 🙂
We breed my mum’s crossbreed last year, they where born in septemper. When they where born the last little guy had trouble getting about. He looked like he had “swimmers” legs as his back legs would always go from under him. My dad noticed his hips clicking when splodge was on his lap so we had xrays done this morning while he was made a little less of a man. When we got the news we all knew deep down he had CHD but it was still a shock. I’m disappointed in our vets a bit as they didn’t really want to talk to him in detail about what they could do. All 5 pups from the litter are in the family (in the same close as well) now I’m scared the other 4 will be affected